The oesophagus


oesophagus
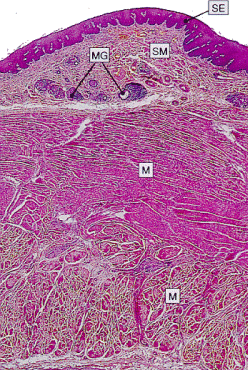
Once food has been chewed and mixed with saliva in the mouth, it is swallowed and passes down the oesophagus. The oesophagus has a stratified squamous epithelial lining (SE) which protects the oesophagus from trauma; the submucosa (SM) secretes mucus from mucous glands (MG) which aid the passage of food down the oesophagus. The lumen of the oesophagus is surrounded by layers of muscle (M)- voluntary in the top third, progressing to involuntary in the bottom third- and food is propelled into the stomach by waves of peristalisis.

go forward