
 |
- The spleen weighed400g and was soft. No focal lesions could be identified.
- Several enlarged hilar lymph nodes were present with a maximum dimension of 2cm in the thorax.
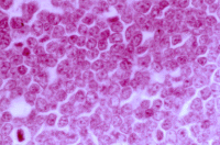
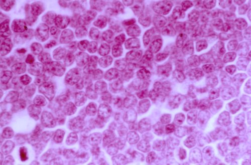
- The bone marrow sample from the time of diagnosis looked like this. The normal marrow has been extensively replaced by large cells.
|