RETICULOENDOTHELIAL SYSTEM

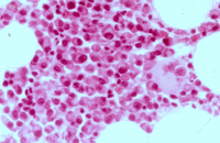
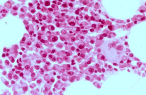
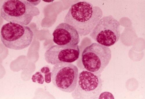
Bone Marrow 1Bone Marrow 2
The picture on the left is a low power view showing increased marrow cellularity.

On the right, at high power, the cells infiltrating the marrow have the typical appearance of plasma cells.