Set 1 Normal and Abnormal Peripheral Blood Cells

Slide 17 of 200 Image ID 2504

Keywords
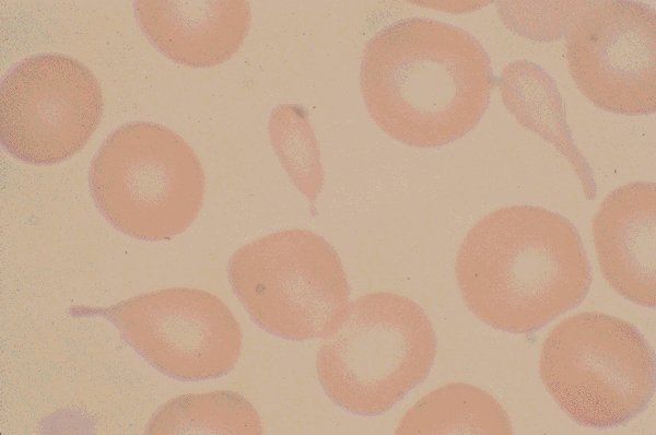
Agnogenic myeloid metaplasia


Description
This Wright's stained preparation is of the peripheral blood
in a patient with the diagnosis of agnogenic myeloid metaplasia.
The high oil magnification view shows teardrop cells which are
a morphologic clue to this process.
Click on this image
to enlarge it, then
on Back buttom
in the Netscape Menu
to shrink it back down