Set 1 Normal and Abnormal Peripheral Blood Cells

Slide 4 of 200 Image ID 501

Keywords
Normal blood smear


Description
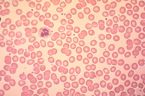
This low power view of a normal Wright's stained
peripheral blood smear shows normochromic
normocytic red blood cells which are reasonably
well distributed.


Click on this image
to enlarge it, then
on Back buttom
in the Netscape Menu
to shrink it back down