Set 2 Normal and Abnormal Bone Marrow Aspirates

Slide 106 of 260 Image ID 1802

Keywords
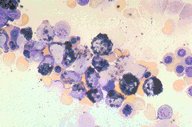
ANLL-M-2 (myeloperoxidase stain)

Description
This slide is a high dry photomicrograph of a
bone marrow aspirate which has been reacted
with the myeloperoxidase stain. The patients's
diagnosis is acute non-lymphoblastic leukemia,
FAB class M-2. Many blasts in this field have the
dark granules of myeloperoxidase positivity.
Click on this image
to enlarge it, then
on Back buttom
in the Netscape Menu
to shrink it back down