Set 2 Normal and Abnormal Bone Marrow Aspirates

Slide 100 of 260 Image ID 1770

Keywords
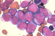
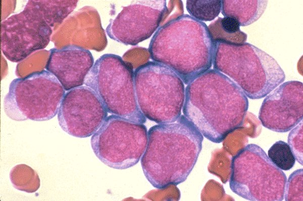
ANLL-M-1

Description
Bone marrow smear from a patient with a
diagnosis of acute myeloblastic leukemia without
maturation, M-1. The myeloblasts are relatively
uniform in appearence with a moderate rim of
basophilic cytoplasm and single prominent
nucleoli.

Click on this image
to enlarge it, then
on Back buttom
in the Netscape Menu
to shrink it back down