Set 11 Acute Leukemias
Slide 74 of 100 Image ID 3264

Keywords
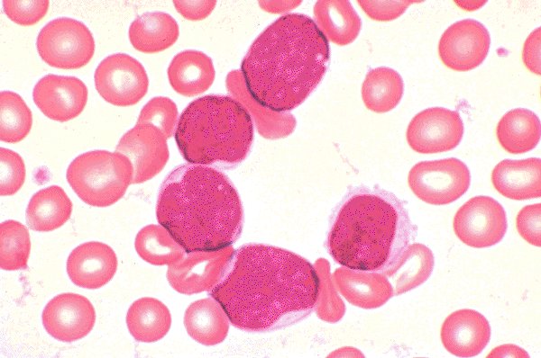
L1, (Philadelphia Positive), PB


Description
Blood smear from a patient with acute
lymphoblastic leukemia with an associated
Philadelphia chromosome. The lymphoblasts in
this field have a characteristic high nuclear-
cytoplasmic ratio, slightly condensed nuclear
chromatin, and relatively indistinct nucleoli. The
cells illustrated would be classified as an L1,
acute lymphoblastic leukemia.

Click on this image
to enlarge it, then
on Back botton
in the Netscape Menu
to shrink it back down