Set 11 Acute Leukemias
Slide 97 of 100 Image ID 3265

Keywords
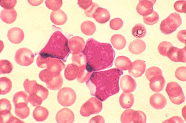
ALL (Philadelphia +), PB


Description
Three lymphoblasts in the peripheral blood of a
patient with acute lymphoblastic leukemia
associated with the Philadelphia chromosome.
These cells have a relatively high nuclear-
cytoplasmic ratio in moderately condensed
chromatin. The lymphoblasts in this case reacted
with CD-19, CD-10, and were TdT positive.

Click on this image
to enlarge it, then
on Back botton
in the Netscape Menu
to shrink it back down