Set 12 Introduction to Blood Morphology
Slide 16A of 48 Image ID 1327

Keywords
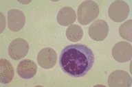
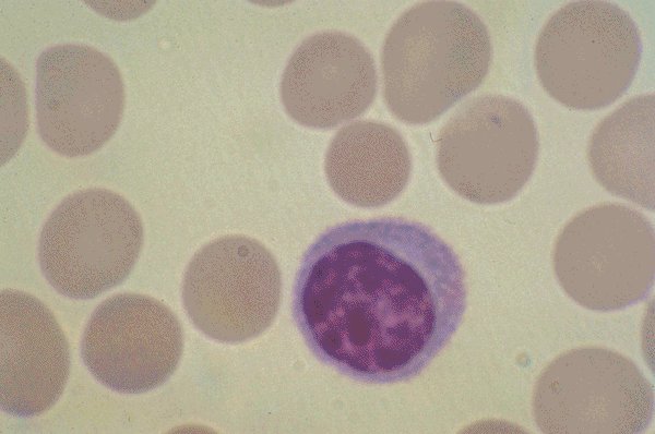
Hereditary spherocytosis (microspherocytes,
normal lymphocyte), high-oil mag, PB

Description
This high-oil magnification of the peripheral blood
in a patient with hereditary spherocytosis (HS),
shows microspherocytes and a normal
lymphocyte.

Click on this image
to enlarge it, then
on Back botton
in the Netscape Menu
to shrink it back down