Set 12 Introduction to Blood Morphology
Slide 17A of 48 Image ID 1329

Keywords
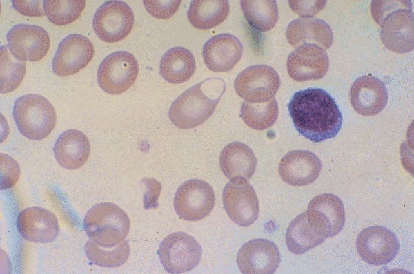
G-6 PD Deficiency ("Bite" cell, normal
lymphocyte), high-dry mag

Description
G-6 PD Deficiency. Central to the normal
lymphocyte in this high-dry field is a red cell with a
blistered appearance. This represents the
process where portions of denatured hemoglobin
are "bitten" from the cell.

Click on this image
to enlarge it, then
on Back botton
in the Netscape Menu
to shrink it back down