Set 14 The Myelodysplasias
Slide 1 of 80 Image ID 2592

Keywords
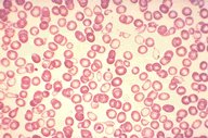
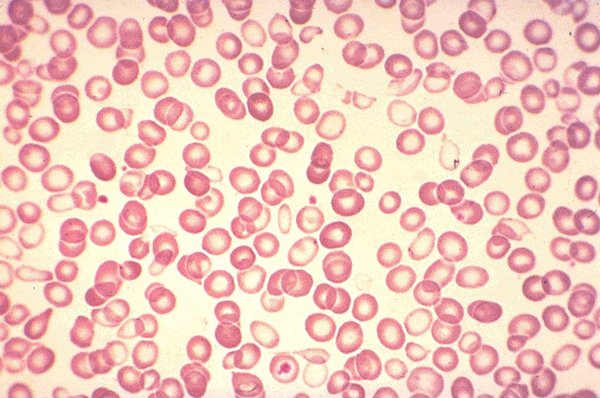
Peripheral blood, low power; anisocytosis,
poikilicytosis, double population.

Description
This low power view of a peripheral blood smear is
seen with Wright's stain. It shows a double
population of red cells. Some of these blood
cells are normal, others are smaller and
hypochromic, still others are macrocytic. Modest
anisocytosis and poikilocytosis are present.

Click on this image
to enlarge it, then
on Back botton
in the Netscape Menu
to shrink it back down