RETICULOENDOTHELIAL SYSTEM

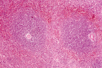
Spleen
  • The spleen weighed 250g and appeared normal externally and on cut section (see picture).
  • There was no significant lymphadenopathy.