Set 1 Normal and Abnormal Peripheral Blood Cells

Slide 1 of 200 Image ID 504

Keywords
Normal blood smear

Description
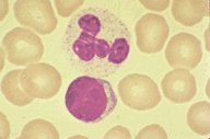
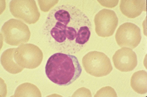
This high oil view of a normal peripheral 
blood smear shows a normal lymphocyte and 
a normal neutrophil. The red blood cells
are well hemoglobinized.
No platelets are seen.

Click on this image
to enlarge it, then
on Back buttom
in the Netscape Menu
to shrink it back down