Set 1 Normal and Abnormal Peripheral Blood Cells

Slide 2 of 200 Image ID 503

Keywords
Normal blood smear

Description
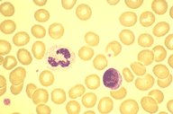
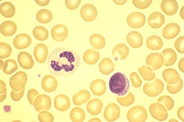
This high dry view of a Wright's stained normal
blood smear shows a normal lymphocyte and
normal neutrophil in the center of the field. The 
red cells show normal hemoglobinization. A few
platelets are seen.


Click on this image
to enlarge it, then
on Back buttom
in the Netscape Menu
to shrink it back down