Set 1 Normal and Abnormal Peripheral Blood Cells

Slide 12 of 200 Image ID 2962

Keywords
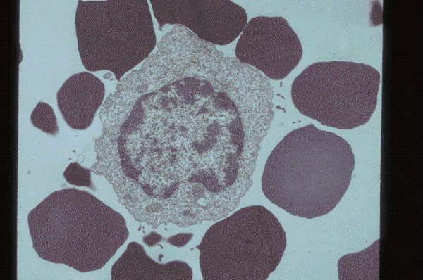
Sheep red cell rosette surrounding a T-cell


Description
A sheep red cell rosette has formed around a T
lymphocyte in this electron photomicrograph.

Click on this image
to enlarge it, then
on Back buttom
in the Netscape Menu
to shrink it back down