Set 1 Normal and Abnormal Peripheral Blood Cells

Slide 11 of 200 Image ID 629

Keywords
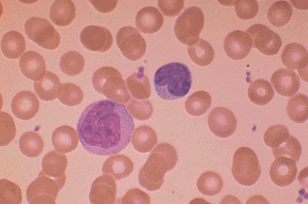
Normal monocyte and lymphocyte


Description
Normal red cells and platelets are seen in this
peripheral blood smear, as is a normal lymphocyte
and a normal monocyte. Low oil magnification
and Wright's stain.

Click on this image
to enlarge it, then
on Back buttom
in the Netscape Menu
to shrink it back down