Set 1 Normal and Abnormal Peripheral Blood Cells

Slide 10 of 200 Image ID 652

Keywords
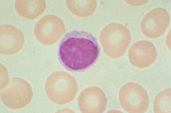
Normal small lymphocyte


Description
This Wright's stained peripheral blood smear
shows a high oil magnification view of a normal
lymphocyte. The red cells also appear normal.

Click on this image
to enlarge it, then
on Back buttom
in the Netscape Menu
to shrink it back down