Set 1 Normal and Abnormal Peripheral Blood Cells

Slide 9 of 200 Image ID 618

Keywords
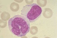
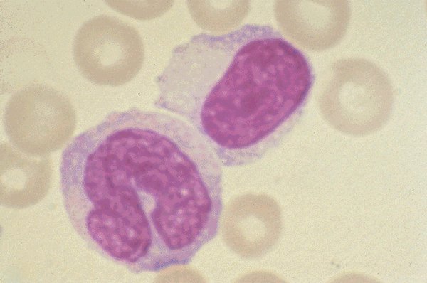
Normal monocyte and large lymphocyte


Description
A normal monocyte and a large lymphocyte are
seen in this high oil magnification of a Wright's
stained peripheral blood smear.

Click on this image
to enlarge it, then
on Back buttom
in the Netscape Menu
to shrink it back down