Set 1 Normal and Abnormal Peripheral Blood Cells

Slide 8 of 200 Image ID 605

Keywords
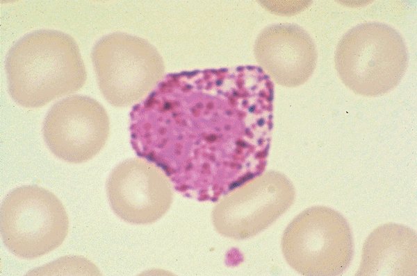
Normal basophil


Description
This high oil photomicrograph shows a normal
basophil in the peripheral blood.

Click on this image
to enlarge it, then
on Back buttom
in the Netscape Menu
to shrink it back down