Set 1 Normal and Abnormal Peripheral Blood Cells

Slide 115 of 200 Image ID 1668

Keywords
Neutrophilia 



Description
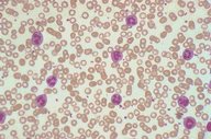
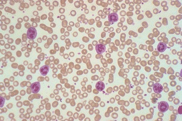
This low power view shows a significant neutrophilia.
Click on this image
to enlarge it, then
on Back buttom
in the Netscape Menu
to shrink it back down