Set 1 Normal and Abnormal Peripheral Blood Cells

Slide 116 of 200 Image ID 1667

Keywords
Neutrophilia 



Description
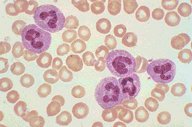
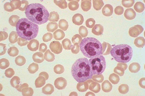
This low oil magnification view is of a Wright's stained blood smear
in a patient with neutrophilia.
Click on this image
to enlarge it, then
on Back buttom
in the Netscape Menu
to shrink it back down