Set 1 Normal and Abnormal Peripheral Blood Cells

Slide 117 of 200 Image ID 1678

Keywords
Leukemoid reaction



Description
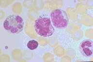
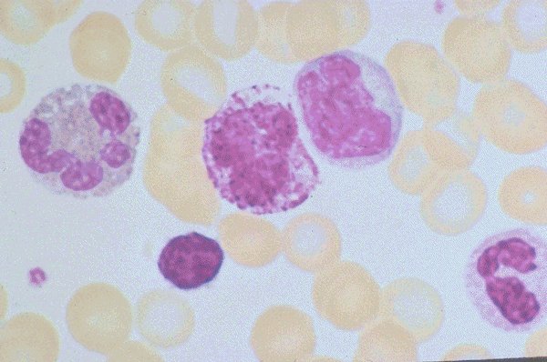
This low oil immersion view of a Wright's stained peripheral
blood smear shows a leukemoid reaction. Three neutrophils, a monocyte,
and a bare nucleus are seen. One neutrophil is more heavily granulated
and somewhat less mature than the surrounding two.
Click on this image
to enlarge it, then
on Back buttom
in the Netscape Menu
to shrink it back down