Set 1 Normal and Abnormal Peripheral Blood Cells

Slide 122 of 200 Image ID 1743

Keywords
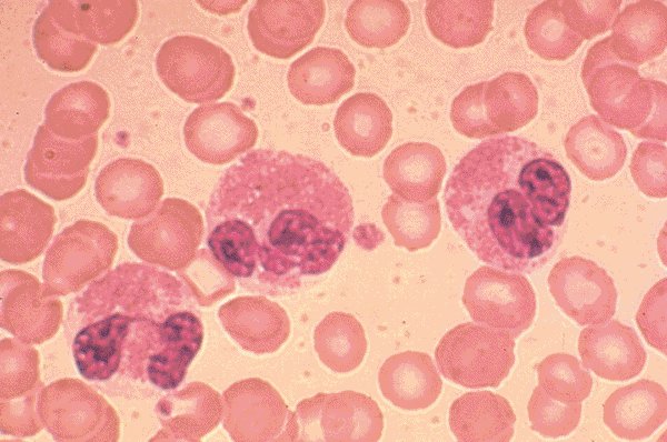
Eosinophilia



Description
Eosinophilia: Three eosinophils with somewhat incandescent
orange granules are seen in this low oil view of a Wright's
stained peripheral blood smear.
Click on this image
to enlarge it, then
on Back buttom
in the Netscape Menu
to shrink it back down