Set 1 Normal and Abnormal Peripheral Blood Cells

Slide 125 of 200 Image ID 2354

Keywords
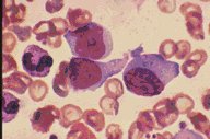
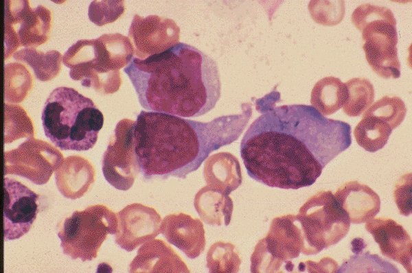
Undifferentiated acute leukemia.



Description
This peripheral blood smear is from a patient with undifferentiated
acute leukemia. Three blasts are seen in the center of the field and
a somewhat abnormal neutrophil is seen perpherally.
Click on this image
to enlarge it, then
on Back buttom
in the Netscape Menu
to shrink it back down