Set 1 Normal and Abnormal Peripheral Blood Cells

Slide 127 of 200 Image ID 1776

Keywords
ANLL-M-1



Description
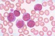
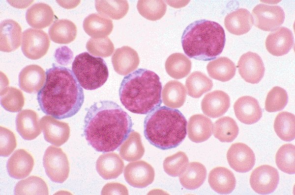
This Wright's stained peripheral blood smear, at low oil
magnification, shows characteristic myeloblasts. The diagnosis
is acute non-lymphoblastic leukemia M1.
Click on this image
to enlarge it, then
on Back buttom
in the Netscape Menu
to shrink it back down