Set 1 Normal and Abnormal Peripheral Blood Cells

Slide 128 of 200 Image ID 1821

Keywords
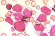
ANLL-M-2 with Auer rods



Description
This peripheral blood smear shows several somewhat more mature myeloid
cells, at least two of which have Auer rods. The diagnosis is ANLL M2.
Click on this image
to enlarge it, then
on Back buttom
in the Netscape Menu
to shrink it back down