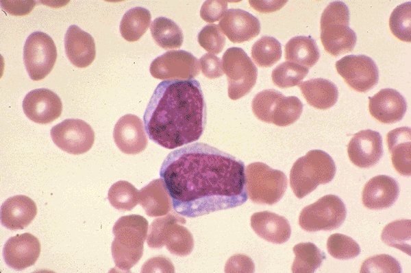
Set 1 Normal and Abnormal Peripheral Blood Cells

Slide 129 of 200 Image ID 1825

Keywords
ANLL-M-2 with t(8;21)



Description
This slide shows the Wright's stained peripheral blood at low
oil magnification of a patient with ANLL M2 who also had t(8;21).
Click on this image
to enlarge it, then
on Back buttom
in the Netscape Menu
to shrink it back down