Set 1 Normal and Abnormal Peripheral Blood Cells

Slide 130 of 200 Image ID 1866

Keywords
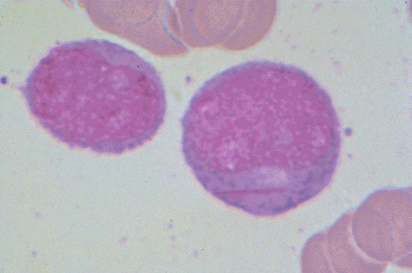
ANLL-M-3 with an Auer rod



Description
This high oil magnification photomicrograph is of the Wright's stained
peripheral blood in a patient with ANLL M3, hypogranular. Two abnormal
blasts are seen in this picture, one of which has a very prominent
Auer rod.
Click on this image
to enlarge it, then
on Back buttom
in the Netscape Menu
to shrink it back down