Set 1 Normal and Abnormal Peripheral Blood Cells

Slide 131 of 200 Image ID 1881

Keywords
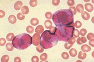
ANLL-M-3 microgranular



Description
This peripheral blood smear, at low oil magnification, is of a Wright's
stained specimen in a patient with ANLL M3, microgranular. Many
of the nuclei could be confused with abnormal monocytes.
Click on this image
to enlarge it, then
on Back buttom
in the Netscape Menu
to shrink it back down