Set 1 Normal and Abnormal Peripheral Blood Cells

Slide 132 of 200 Image ID 1898

Keywords
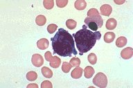
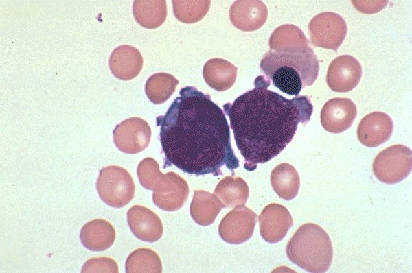
ANLL-M-3 hyperbasophilic cells



Description
This Wright's stained blood smear, at low oil magnification, is of the
peripheral blood in a patient with ANLL M3. Two hyperbasophilic cells
are seen.
Click on this image
to enlarge it, then
on Back buttom
in the Netscape Menu
to shrink it back down