Set 1 Normal and Abnormal Peripheral Blood Cells

Slide 133 of 200 Image ID 2015

Keywords
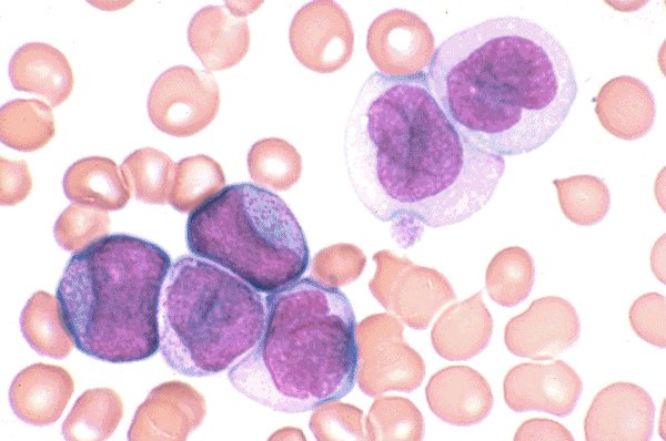
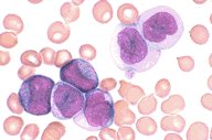
ANLL-M-4



Description
This patient had a diagnosis of ANLL M4. The blasts in this
photomicrograph of a Wright's stained peripheral blood at low
oil magnification vary. Some have more monocytic features and
some have more myeloid features.
Click on this image
to enlarge it, then
on Back buttom
in the Netscape Menu
to shrink it back down