Set 1 Normal and Abnormal Peripheral Blood Cells

Slide 134 of 200 Image ID 2020

Keywords
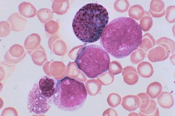
ANLL-M-4 (EOS)



Description
ANLL M4 (EOS): A low oil magnification view of the peripheral
blood in a patient whose leukemia showed significant abnormalities
in the eosinophilic series. These include eosinophilic granules
as well as a much more basophilic granulation.
Click on this image
to enlarge it, then
on Back buttom
in the Netscape Menu
to shrink it back down