Set 1 Normal and Abnormal Peripheral Blood Cells

Slide 135 of 200 Image ID 2104

Keywords
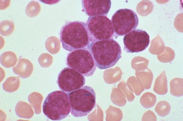
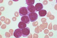
ANLL-M-5A t(9;11)



Description
ANLL M5A t(9;11): The low oil magnification view of the Wright's
stained peripheral blood in this patient shows early monoblastic
forms with round nuclei, homogeneous nuclear chromatin, and nucleoli.
There is a slight suggestion of pseudopods, although this is
certainly not a prominent finding.
Click on this image
to enlarge it, then
on Back buttom
in the Netscape Menu
to shrink it back down