Set 1 Normal and Abnormal Peripheral Blood Cells

Slide 136 of 200 Image ID 2094

Keywords
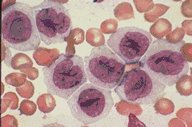
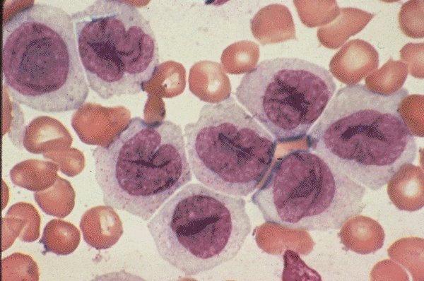
ANLL-M-5B



Description
ANLL M5B: The monocytoid cells in this peripheral blood smear, at
low oil magnification, show much more mature monocytic nuclei.
Click on this image
to enlarge it, then
on Back buttom
in the Netscape Menu
to shrink it back down