Set 1 Normal and Abnormal Peripheral Blood Cells

Slide 137 of 200 Image ID 2177

Keywords
ANLL-M-6



Description
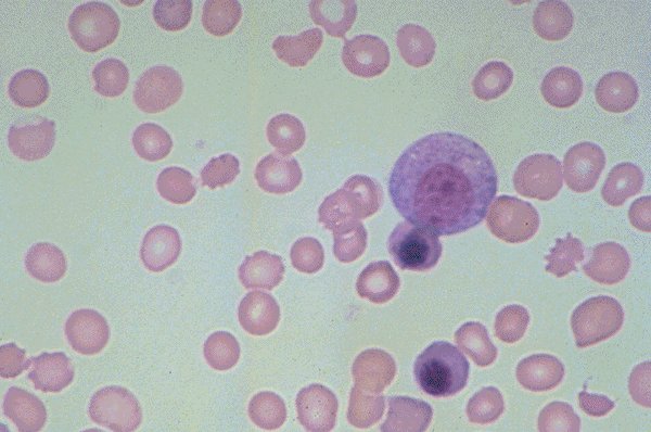
A high dry view of the Wright's stained peripheral blood is seen
in this slide. The patient's diagnosis was ANLL M6. Two late erythroblasts
and one much less mature cell are seen in this picture. There is some
poikilocytosis and anisocytosis.
Click on this image
to enlarge it, then
on Back buttom
in the Netscape Menu
to shrink it back down