Set 1 Normal and Abnormal Peripheral Blood Cells

Slide 138 of 200 Image ID 2180

Keywords
ANLL-M-6



Description
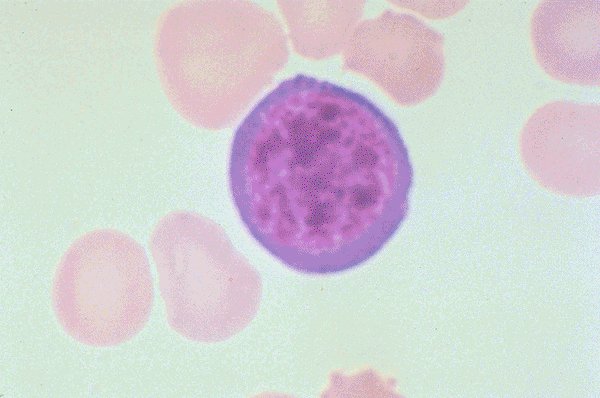
This is a high oil magnification view of the peripheral blood in a
patient with ANLL M6. The blast in the center of the field shows
cytoplasm of grey color, indicating some presence of hemoglobin.
Click on this image
to enlarge it, then
on Back buttom
in the Netscape Menu
to shrink it back down