Set 1 Normal and Abnormal Peripheral Blood Cells

Slide 139 of 200 Image ID 2222

Keywords
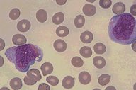
ANLL-M-7



Description
ANLL M7: Wright's stained peripheral blood smear showing two
immature leukemic megakaryoblasts. Other studies were required
to confirm their identity.
Click on this image
to enlarge it, then
on Back buttom
in the Netscape Menu
to shrink it back down