Set 1 Normal and Abnormal Peripheral Blood Cells

Slide 140 of 200 Image ID 2233

Keywords
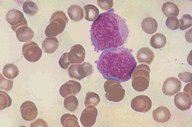
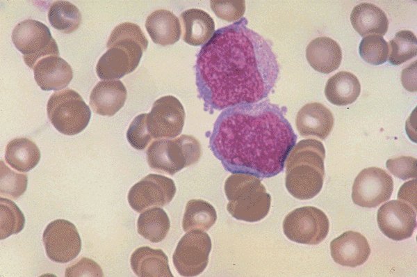
ANLL-M-7



Description
ANLL M7: Wright's stained peripheral blood smear showing two immature
leukemic megakaryoblasts. Other studies were required to confirm
their identity.

Click on this image
to enlarge it, then
on Back buttom
in the Netscape Menu
to shrink it back down