Set 1 Normal and Abnormal Peripheral Blood Cells

Slide 141 of 200 Image ID 2282

Keywords
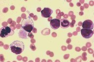
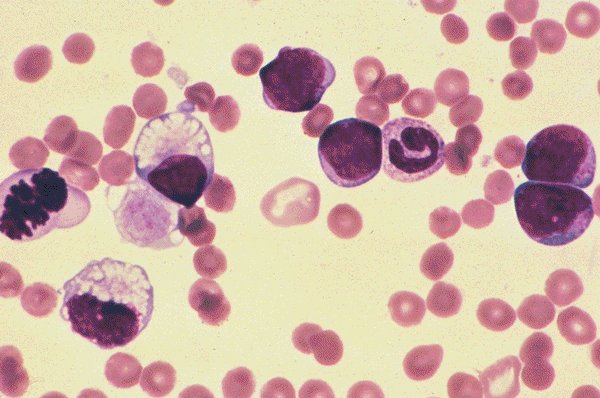
ANLL-M-7 in a patient with Down's syndrome



Description
This high dry magnification view of the Wright's stained peripheral blood
is from a patient with Down's syndrome, who progressed to ANLL M7.
The immature cells in the peripheral blood were found to have this
characteristic on additional studies.
Click on this image
to enlarge it, then
on Back buttom
in the Netscape Menu
to shrink it back down