Set 1 Normal and Abnormal Peripheral Blood Cells

Slide 142 of 200 Image ID 2392

Keywords
Hypereosinophilic syndrome



Description
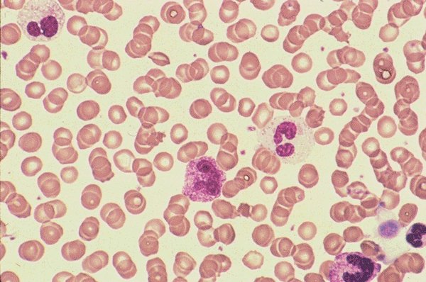
This low power view of the peripheral blood shows five granulocytes,
two of which are eosinophils. The diagnosis is hypereosinophilic
syndrome, though no further diseases entity is recorded. The red
cells show some rouleaux formation.
Click on this image
to enlarge it, then
on Back buttom
in the Netscape Menu
to shrink it back down