Set 1 Normal and Abnormal Peripheral Blood Cells

Slide 146 of 200 Image ID 2494

Keywords
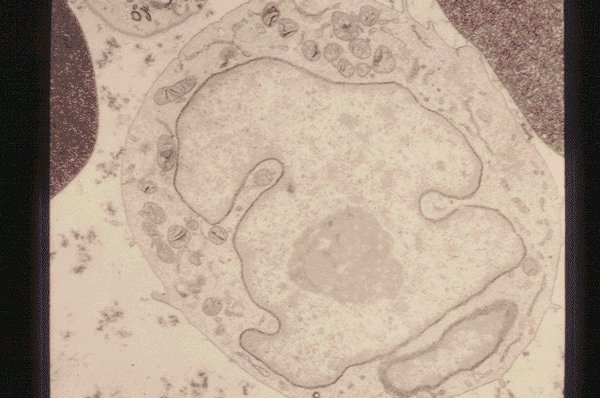
Electron micrograph of chronic granulocytic leukemia
in megakaryoblastic crisis with positive platelet
peroxidase stain



Description
This electron photomicrograph is of the peripheral blood of a patient
with chronic granulocytic leukemia in megakaryoblastic crisis. The cell 
shown is positive for platelet peroxidase.
Click on this image
to enlarge it, then
on Back buttom
in the Netscape Menu
to shrink it back down