Set 1 Normal and Abnormal Peripheral Blood Cells

Slide 158 of 200 Image ID 1552

Keywords
Infectious mononucleosis


Description
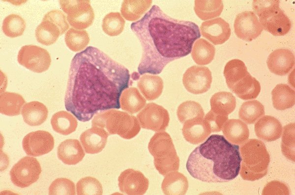
This low oil magnification view of the Wright's stained peripheral
blood in a patient with infectious mononucleosis shows three reactive
lymphocytes. Each has some peripheral basophilia, some vacuolization,
and some streaming of the cytoplasm into the red cell interstices.
Some rouleaux formation is also present.
Click on this image
to enlarge it, then
on Back buttom
in the Netscape Menu
to shrink it back down