Set 1 Normal and Abnormal Peripheral Blood Cells

Slide 159 of 200 Image ID 3303

Keywords
Acute lymphoblastic leukemia-L1


Description
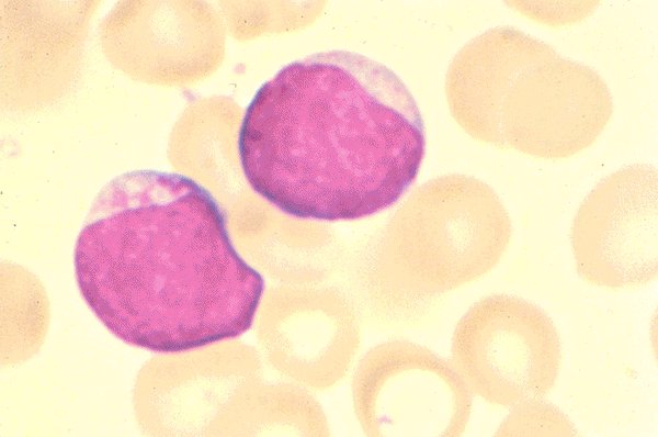
This high oil magnification view is of the Wright's stained peripheral
blood of a patient with acute lymphoblastic leukemia L1. There are some
azure granules in these lymphoblasts. There is a very high nuclear
to cytoplasm ratio. Most of this patient's lymphoblasts were very similar
to these two cells.
Click on this image
to enlarge it, then
on Back buttom
in the Netscape Menu
to shrink it back down