Set 1 Normal and Abnormal Peripheral Blood Cells

Slide 160 of 200 Image ID 3313

Keywords
Acute lymphoblastic leukemia-L2


Description
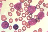
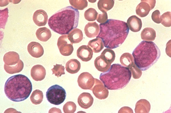
ALL L2: This low oil magnification view of the Wright's stained
peripheral blood shows five blasts of the L2 type surrounding a
lymphocyte. It can be seen that these blasts are somewhat larger
and more variable in morphology.

Click on this image
to enlarge it, then
on Back buttom
in the Netscape Menu
to shrink it back down