Set 1 Normal and Abnormal Peripheral Blood Cells

Slide 161 of 200 Image ID 3322

Keywords
Acute lymphoblastic leukemia-L3


Description
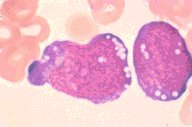
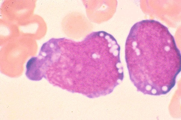
ALL L3: This high oil magnification view of the peripheral blood
shows characteristic vacuolated L3 blasts. Vacuoles are present in both
the cytoplasm and the nuclei, and nucleoli are also present and there
is a very fine nuclear chromatin pattern. This would be the Burkitt's
type of ALL.
Click on this image
to enlarge it, then
on Back buttom
in the Netscape Menu
to shrink it back down