Set 1 Normal and Abnormal Peripheral Blood Cells

Slide 162 of 200 Image ID 3003

Keywords
Acute prolymphocytic leukemia


Description
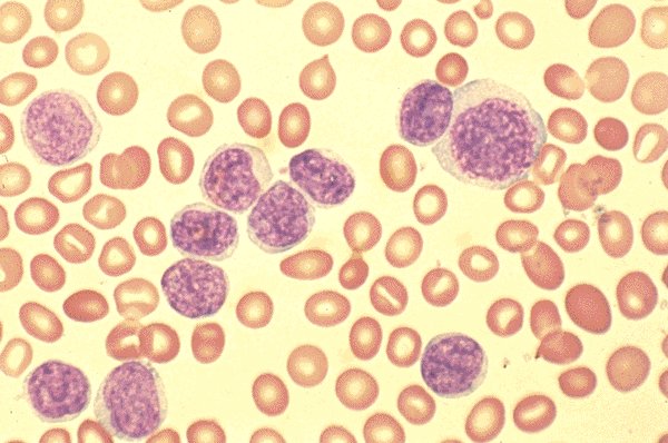
This low oil magnification view of a Wright's stained peripheral
blood smear is from a patient with acute prolymphocytic leukemia.
The leukemic cells show a somewhat open immature pattern and are
often characterized by large nucleoli, which are somewhat difficult
to see in this specimen.
Click on this image
to enlarge it, then
on Back buttom
in the Netscape Menu
to shrink it back down