Set 1 Normal and Abnormal Peripheral Blood Cells

Slide 163 of 200 Image ID 3346

Keywords
Acute prolymphocytic leukemia


Description
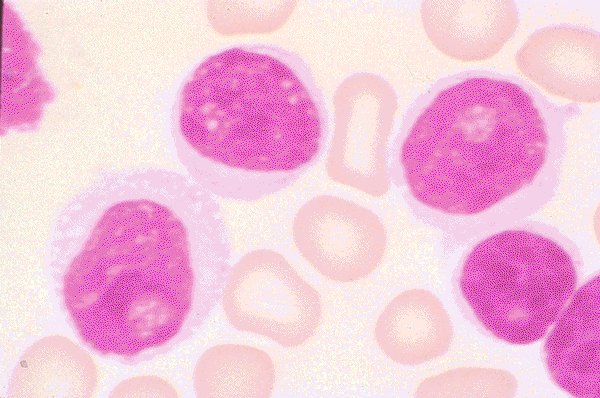
This high oil magnification view is of a Wright's stained peripheral
blood smear in a patient with acute prolymphocytic leukemia. There is
some variability in the morphology of these leukemic cells, but two
characteristic large round single nucleolus.
Click on this image
to enlarge it, then
on Back buttom
in the Netscape Menu
to shrink it back down