Set 1 Normal and Abnormal Peripheral Blood Cells

Slide 164 of 200 Image ID 3686

Keywords
Chronic lymphocytic leukemia


Description
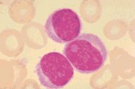
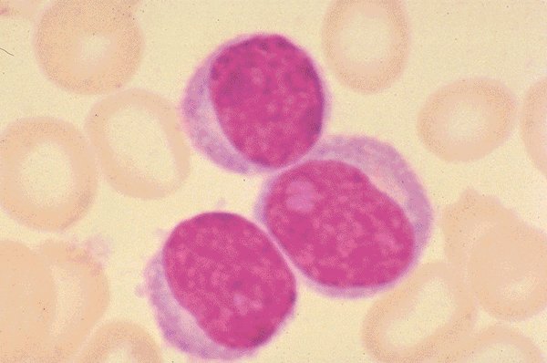
Chronic lymphocytic leukemia: A high oil magnification view of
the Wright's stained peripheral blood shows three leukemic lymphocytes,
one of which has increased nuclear parachromatin and one of which probably
has a nucleolus. However the nuclear chromatin itself is more condensed
than either in lymphoblasts or prolymphocytes.
Click on this image
to enlarge it, then
on Back buttom
in the Netscape Menu
to shrink it back down