Set 1 Normal and Abnormal Peripheral Blood Cells

Slide 165 of 200 Image ID 3666

Keywords
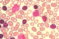
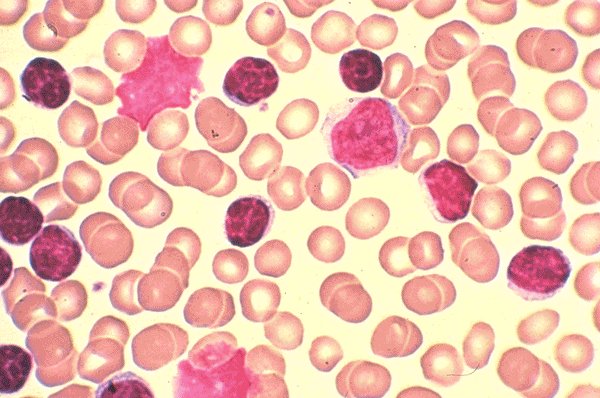
Chronic lymphocytic leukemia


Description
This is a high dry magnification view of a Wright's stained peripheral
blood smear in a patient with chronic lymphocytic leukemia. The
lymphocytes are very small and mature looking and there is some evidence
of damaged lymphocytes as well in this smear.
Click on this image
to enlarge it, then
on Back buttom
in the Netscape Menu
to shrink it back down